بیماری ایدز | علل و علائم ابتلا، پیشگیری و درمان

فهرست مطالب
ایدز یک بیماری آسیب رسان به سیستم ایمنی فرد مبتلا است که عملکرد آن کاهش سلول های دستگاه ایمنی بدن می باشد. این بیماری درمان ندارد ولی می تواند با داروهای ضد ویروسی کنترل شود.
ایدز چیست؟
ایدز یک ویروس آسیب رسان به سیستم ایمنی بدن است، که سلول های CD4 که از نوع سلول های ایمنی دسته T هستند را تحت تاثیر قرار داده و از بین می برد. از بین بردن سلول های T فرد مبتلا، با گذشت زمان افزایش پیدا می کند و بدن فرد بیمار، مستعد ابتلا به انواع بیماری های از جمله، انواع سرطان ها، می شود.
با کاهش تعداد سلول های CD4، سیستم ایمنی بدن ضعیف می شود، به طور طبیعی در افراد بزرگسال تعداد CD4 معمولا از ۵۰۰ تا ۱۵۰۰، در یک میلی متر مکعب است، ولی فردی که ایدز مبتلا است این مقدار به زیر ۲۰۰ عدد می رسد.
راه های انتقال ایدز
یکی از راه های انتقال ایدز از بدن فرد مبتلا شده به بدن سایر افراد، مایعات بدن فرد مبتلا هستند. از جمله این مایعات می توان به، مایع منی، خون بدن فرد مبتلا، ترشحات واژن و رکتوم و شیر مادر اشاره کرد. ویروس ایدز از طریق آب یا هوا و همچنین تماس های گاه به گاه قابل انتقال نمی باشد.
چه ارتباطی بین HIV و ایدز وجود دارد؟
برای اینکه فردی به بیماری ایدز مبتلا شود باید ویروس HIV داشته باشد، اما داشتن ویروس HIV لزوما به معنی مبتلا بودن به ایدز نیست.
مراحل پیشرفت HIV در سه مرحله رخ می دهد:
مرحله اول: مرحله حاد است که در چند هفته اول پس از دریافت ویروس HIV است.
مرحله دوم: مرحله مزمن یا تاخیر بالینی نامیده می شود.
مرحله سوم: بیماری ایدز
سرعت پیشرفت HIV، در مرحله دوم، ممکن است از فردی به فرد دیگر تفاوت داشته باشد. بدون آغاز دوره درمان، نمایان شدن بیماری ایدز ممکن است یک دهه طول بکشد، ولی اگر در مرحله مزمن درمان آغاز شود، این امکان وجود دارد که بیماری ایدز تا بی نهایت هم ظاهر نشود.
همانطور که در متن بالا اشاره کردیم، اگرچه HIV و ایدز با هم ارتباط دارند ولی این دو، یک بیماری نیستند، برخی از راههای انتقال HIV عبارتند از: شایعترین راه انتقال، رابطه جنسی واژینال یا رابطه جنسی مقعدی، استفاده از سرنگها، نیدلهای تزریق و سایر داروهای تزریقی، استفاده از تجهیزات استریل نشده تاتو بدن، استفاده از تجهیزات استریل نشده دندانپزشکی، منتقل شدن ویروس از مادر باردار به نوزاد، از طریق شیردهی به نوزاد و همچنین از طریق جویدن غذای کودک توسط مادر، پیوند عضو با فرد مبتلا .

علت HIV
HIV نوعی ویروس است که از میمون های آفریقایی به انسان انتقال پیدا کرده است، این ویروس نقص ایمنی با استفاده از خوردن گوشت شامپانزه حاوی ویروس، به انسان منتقل شده، و در بدن انسان به HIV امروزی تبدیل شده است. این اتفاق در سال ۱۹۲۰ اتفاق افتاده است.
در چند دهه متوالی HIV در آفریقا از فردی به فرد دیگر انتقال پیدا کرده است، و با گذشت زمان، به نقاط مختلف جهان منتقل شده است. در سال ۱۹۵۹ برای اولین بار، دانشمندان این ویروس را در خون انسان کشف کردند.
علت ایدز
بیماری ایدز توسط ویروس HIV ایجاد می شود، تا این ویروس نباشد امکان مبتلا شدن به بیماری ایدز وجود ندارد.
دوره بیمار شدن توسط ویروس HIV
به محض ورود ویروس Hiv به بدن فرد، این ویروس شروع به تولید مثل می کند، در این هنگام، سیستم ایمنی بدن آنتی بادی هایی را برای دفاع از بدن در مقابله با آنتیژنها (قسمتهایی از ویروس) تولید میکند. از زمانی که HIV به بدن وارد میشود تا زمانی که این ویروس در خون آن فرد قابل تشخیص است، با توجه به شرایط بدنی هر فرد بین ۲۳ تا ۹۰ روز طول می کشد.
طول بیماری
ممکن است فردی که ویروس آلوده باشد ولی تست او منفی اعلام شود، ولی در این مدت می تواند ویروس را به افراد دیگر انتقال دهد. اگر فردی مطمئن باشد که به ویروس مبتلا شده ولی نتیجه آزمایش او منفی است باید، یک ماه بعد آزمایش انجام دهد. در این زمان این افراد باید پیشگیریهای موثر را انجام دهند.
مهمترین نکته انجام آزمایش ویروس HIV زمان آن است، اگر در اسرع وقت به بیماری خود پی ببرید، میتوانید عمر مفید خود را افزایش داده و از انتقال بیماری به دیگران خودداری کنید. در صورتی که فکر می کنید به این ویروس آلوده شدهاید، هر چه سریعتر به پزشک متخصص عفونی مراجعه کرده و آزمایشات را انجام دهید.
علائم اولیه HIV
مرحله عفونت حاد، چند هفته اول پس از ابتلا به HIV، اتفاق میافتد. تولید مثل ویروس در این مرحله به سرعت رخ میدهد. در این مدت سیستم ایمنی بدن، برای مقابله با ویروس، آنتیبادیهایی را ترشح میکند. در این مرحله ممکن است بعضی از افراد مبتلا بدون هیچ علائمی از بیماری باشند.
در ماه اول بیماری ممکن است افراد مبتلا یک سری علائم داشته باشند ولی معمولا تشخیص نمی دهند که این علائم می تواند مربوط به بیماری ایدز باشد. زیرا علائم مرحله حاد این ویروس بسیار شبیه به علائم، ویروس های فصلی یا آنفولانزا می باشد. این علائم می توانند خفیف یا شدید باشند، گاهی وجود داشته باشند و گاهی زود بهبود یابند، از چند روز تا چند هفته ادامه داشته باشند.
علائم اولیه
علائم اولیه HIV شامل: لرز، تب، بثورات پوستی، تورم غدد لنفاوی، گلودرد، حالت تهوع، ناراحتی معده و درد عمومی می باشد.
با توجه به شباهت علائم ویروس HIV با ویروس آنفولانزا، در صورت داشتن این علائم در کوتاه ترین زمان ممکن، به پزشک مراجعه کرده و شرح حال خود را بازگو کنید تا پزشک در جهت تشخیص بیماری، به شما کمک کند. در این مواقع حتما آزمایش باید انجام شود، چون ممکن است افراد زیاد توجه نکنند و بیماری را با آنفولانزا اشتباه بگیرند.
حتی ممکن است بعضی از افراد هیچ گونه علائمی نداشته باشند ولی با توجه به تولید مثل سریع ویروس HIV و افزایش آن در خون فرد مبتلا، به راحتی به افراد دیگر می تواند منتقل شود.
علائم مرحله مزمن HIV
بعد از گذشت یک ماه از ورود ویروس HIV، به بدن فرد، مرحله تاخیر بالینی آغاز میشود، طول این مدت از چند سال تا چند دهه میتواند طول بکشد. افراد مختلف ممکن است یا علامتی نداشته باشند یا علائمی غیر اختصاصی داشته باشند. که در نتیجه بیماری دیگری اتفاق نمیافتد. این علائم غیر اختصاصی عبارتند از:
عرق شبانه، تورم غدد لنفاوی، تبهای مکرر، خستگی، سردرد و درد های بدن، استفراغ و حالت تهوع، اسهال، کاهش وزن بدن، بثورات جلدی، عفونتهای واژن و دهان، زونا و ذات الریه.
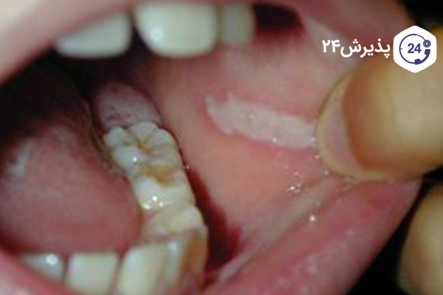
علائم دهانی
هر فردی با داشتن این علائم، حتما باید آزمایش HIV را انجام داده و در صورت مثبت بودن آزمایش، زیر نظر پزشک با تجربه درمان خود را آغاز نماید. پیشرفت علائم در این مرحله، با استفاده از مصرف داروها به سرعت کاهش پیدا می کند. درمان های ویروسی در این مرحله ممکن است مانع از ایجاد بیماری ایدز تا سال های طولانی شوند.

علائم HIV در مردان
ایدز در مردان
مردان به راحتی می توانند علائم ویروس HIV، از جمله زخم در ناحیه تناسلی خود را مشاهده نمایند ولی به دلیل بی توجهی در فکر درمان نباشند. مردانی که ابتلا به ویروس HIV هستند، قطعا در معرض عفونتهای آمیزشی از جمله: سوزاک، سیفلیس، تریکومونیازیس و همچنین کلامیدیا نیز میباشند.
علائم HIV در زنان
علائم HIV در زنان و مردان تقریبا به صورت مشابه است. ولی با توجه به شرایط ویژه در هر فرد ممکن است زنان علائم متفاوتی را تجربه نمایند. زنان مبتلا به HIV در معرض خطر ابتلا به STI قرار دارند، با این حال ممکن است زنان متوجه لکه های ایجاد شده در واژن خود نشوند.
تست ایدز
آزمایشات مختلفی برای تشخیص ایدز مورد استفاده قرار می گیرند، که پزشک متخصص تعیین می کند که کدام آزمایش برای افراد مراجعه کننده مناسب هستند.
آزمایشات آنتی بادی / آنتی ژن: از معمول ترین آزمایشات ایدز محسوب می شوند. این آزمایش، تست مثبت را از ۱۸ تا ۴۵ روز می تواند نشان دهد. در این آزمایش، آنتی بادی و آنتی ژن خون بررسی می شود.
آنتی ژن قسمتی از ویروس است که سیستم ایمنی بدن را فعال می کند و آنتی بادی یک نوع پروتئین است که در پاسخ به عفونت بدن، تولید میشود.
با توجه به اینکه پیشروی بیماری ایدز باعث کاهش سلول های CD4 به زیر ۲۰۰ می شود، با آزمایش خون به راحتی بیماری ایدز قابل تشخیص است.
در صورتی که با یک فرد مبتلا به ایدز تماس داشتید از طریقی که مطمئن هستید ویروس به شما منتقل شده است، از داروی PEP استفاده نمایید که شامل ۳ داروی ضد ویروس است، این دارو حتما باید قبل از گذشت ۷۲ ساعت از تماس به مدت ۲۸ روز استفاده شود.
داروی PrEP، ترکیبی از و داروی ضد ویروسی است که به صورت قرص قابل مصرف است، در افرادی که شانس بیشتری برای مبتلا شدن به ایدز دارند استفاده می شود.
استفاده از این داروها حتما با صلاح و مشورت دکتر متخصص عفونی انجام شود، زیرا استفاده خودسرانه ممکن است بیماری شما را وخیم کند.
ایدز در ایران

درمان ایدز
با توجه به اینکه سلول HIV، به درون DNA فرد مبتلا وارد میشود، بنابراین از بیماریهای مادام العمر به حساب می آید و در حاضر هیچ درمانی برای خارج کردن و دفع آن از بدن وجود ندارد. ولی دانشمندان تلاشهای بسیاری برای کنترل این بیماری انجام داده اند و تنها راهکار موجود برای مقابله با ویروس HIV، استفاده از داروهای ضد ویروسی به تجویز پزشک متخصص بیماری های ویروسی می باشد.
داروهای ضد ویروسی
درمانهای ضدویروسی باعث میشود که سلول های CD4، بدن افزایش پیدا کنند تا فرد بتواند از سیستم ایمنی قوی برخوردار باشد.
با استفاده از داروهای ضد ویروسی فرد مبتلا می تواند سالیان طولانی هم عمر کند، ولی افرادی که به این بیماری مبتلا هستند و آن را درمان نمیکنند، دچار سندرم نقص ایمنی اکتسابی می شوند که به بیماری ایدز معرف است. بیماری ایدز باعث ضعیف شدن سیستم ایمنی بدن می شود به گونه ای که فرد مبتلا توانایی مقاومت در برابر بیماریهای عفونی را ندارد.
طبق تحقیقات انجام شده، امید به زندگی در افرادی که بیماری ایدز را درمان نکرده اند ۳ سال میباشد. ولی افرادی که درمان خود را به موقع شروع میکنند، امید به زندگی آنها به اندازه عمر طبیعی یک انسان بدون بیماری است. در حال حاضر ۲/۱ میلیون نفر از مردم آمریکا به ایدز مبتلا هستند که از هر هفت نفر، یک نفر آنها از مریضی خود خبر ندارد.
عواملی که بر امید به زندگی افراد مبتلا به ایدز تاثیر دارند عبارتند از : تعداد سلول های CD4، مقدار ویروس موجود در بدن، بیماریهای ویروسی دیگر از جمله هپاتیت، استفاده از مواد مخدر، سیگار کشیدن،شروع به موقع درمان، سن و سایر شرایط سلامتی بدن فرد.
درمان نکردن به موقع ایدز باعث آسیب پذیری فرد به انواع بیماری ها از جمله: بیماری سل، ذات الریه، برفک دهانی (بیماری قارچی دهانی)، سیتومگالوویروس (نوعی ویروس تبخال)، مننژیت، کریپتو سپوریدیوز، سرطان و بیماری های دیگر می شود.
آیا با یک بار رابطه بین افرادی که یک نفر از آنها مبتلا به ایدز است، این بیماری منتقل می شود؟
بله، ویروس ایدز به سرعت در بدن فرد مبتلا تکثیر پیدا می کند و رابطه جنسی از اصلی ترین راه های انتقال این بیماری است. با یک بار رابطه جنسی این ویروس قابلیت انتقال به فرد سالم را دارد.
پیشگیری از ایدز
راه های بسیاری برای پیشگیری از بیماری ایدز وجود دارد از جمله این راه ها:
به دلیل اینکه ویروس HIV از طریق خون منتقل می شود، از اشتراک گذاشتن نیدلهای تزریق با یکدیگر خودداری نمایید.
سازمان بهداشت جهانی در مورد آمار در حال افزایش ایدز در ایران هشدار داده است. این بیماری در ایران از طریق افراد معتاد و آمیزشهای جنسی، بیشتر منتقل می شود و روز به روز در حال افزایش است.
ایدز یک بیماری ویروسی است که بیشتر از راه تزریقات با سرنگ های آلوده، روابط جنسی و بزاق فرد آلوده منتقل می شود، تاکنون هیچ واکسنی برای این بیماری کشف نشده است و تنها راه پیشگیری مراقبت از سلامتی خود می باشد. افراد با داشتن علائم مشابه در اسرع وقت به پزشک عفونی مراجعه نمایند.
- وب سایت یا اپلیکیشن پذیرش۲۴، این امکان را برای شما فراهم کرده است که غیر حضوری و آنلاین، به صورت متنی یا تلفنی از پزشکان متخصص، مشاوره آنلاین بیماری عفونی بگیرید و از ایشان کمک بخواهید.












میگن داخل این واکسن های کرونا بیماری ایدز بوده
سلام
من از پریروز روی انگشت شصتم و کف دستم و کمی روی پا و ناحیه پایین تر از باسن حالت جوش زدم که دست میزنم میخاره و درد میگیره و از امروز بیحالم و اننگار همونن جوشا تو دهانم هم هست و بزاغمو قورت میدم زبون و گلوم کمی درد میگیره
سردردم خیلی کم دارم ولی دل درد و اسهال و استفراق ندارم انگشتامم سر شده
میخواستم ببینم کسی میتونه کمکم کنه بگه چمه
ممنون میشم
خیلی نگران شدم
سلام و خسته نباشید
آزمایش (hiv ab and p24 ag(ECL آنتی بادی این توانایی نشان دادن اچ آی وی نوع ۲را دارد؟؟
همانطور که میبینین در متن آزمایش ننوشته که انتی بادی نوع۱و۲ مورد بررسی قرار گرفته است
سلام
تو مقاله تون به نکات خیلی خوبی اشاره کرده بودین. سایت ایران مدیکال اینفو هم یک مقله در مورد بیماری اچ آی وی نوشته بود که یه ویدیو کوتاه داشت که به نظرم اونم به نکات خوبی اشاره کرده بود.
سلام من دو ماه پیش تو ساحل میخواستم یک شیشه لیموناد رو بشکنم ولی دوتا زخم خیلی کوچیک شد دستم بعد دستمو که تو آب دریا شستم یادم اومد که فاضلاب هم میاد تو آب حالا که وسواس فکری گرفتم با کیت آزمایش ایدز خودم آزمایش بدم اگه منفی بود بازم نیاز هست یا خیر؟
سلام اگه بعد از چند سال رابطه خطر ناک علائمی در بدن مشاهده نکنیم و هیچ رابطه ی خطر ناکی نداشته باشیم باز هم احتمال بیماری هست
ممنوم
سلام من دانه های قرمز زیر زبونم هست و وروی آلتم دانه های سفید هست ممکنه ایز باشه واگه درمان نشه باعث سرطان بشه
سلام من یه سوالی داشتم امکان ابتلا به ایدز بعد از رابطه محافظت شده منظورم با کاندوم که به هیچ عنوان پاره نشده وجود دارد؟ یا فقط رابطه ی محافظت نشده ؟
سلام من حدود ۱۵ ماه پیش رابطه جنسی بدون کاندوم با یک زن داشتم اون زن هم تمیز بود علائم های ایدز رو نداشت الان که ۱۵ ماه گذشته هیچ علائم و علامتی سراغ من نیومده و دیده نشده
نظر شما لطفا
سلام تو پیامهایی ک خوندم گفتین از طریق خون انتقال پیدا میکنه اگه ی سرنگ تو پات رفته باشه ولی خون از پات نیومده باشه امکان اینکه گرفته باشی هست یا خیر؟
سلام ایا اکه جواب ازمایش مثبت شه توی سامانه ها ثبت میشه که مبتلا هستیم و همه ارگان ها میتونن اطلاع داشته باشند؟
سلام من رابطه داشتم با کاندوم شک میکنم طرف ایدز داره یا نه اگه ایدز داشته باشه منم میتونم بگیرم
سلام من یک ماه پیش رابطه جنسی با کاندوم داشتم. چند روز پیش از قسمت قفسه سینهم مقداری جوش زد مثل آبله مرغان، رفتم دکتر عمومی گفت زونا گرفتی. ممکنه ایدز گرفته باشم؟ هیچ علائم دیگای ندارم. تب ندارم، بدندرد ندارم، علائم سرخوردگی ندارم و… فقط زونا گرفتم، ممکنه ایدز باشه؟ ۲۲ سال هم سنم هست
یه سوال داشتم
من چند روز پیش خودارضایی کردم و بعد خودارضایی متوجه شدم که آلتم زخم بود و مایه منی با زخم برخود داشته آیا من مبتلا به اچ آی وی یا ایدز میشوم ؟؟،
سلام من کلاس هشتم هستم یکی از بچه های کلاس نهم ایدز گرفته من هم چند روزی هست تب و لرز شدید دارم آیا ایدز گرفتم یا نه یکی لطفاً جوابم بده آخه از غصه همش دارم گریه میکنم
سلام من سه روز پیش رابطه دهانی با یه خانم داشتم نمیدونم سالمه یا نه از کاندوم هم استفاده کردم هیچ زخمی هم تو دهانش نبود احتمال اچ آی وی هست؟
سلام من یه چاقو پیدا کردم و با مایع ظرفشویی تمیز شستوشو دادم چاقو رو بعد مدتی دستم رو زخم کرد ایا خطر داره؟
خیر این چاقی ۱ روز یا ۲۴ ساعت آلوده به بیماری هست
با سلام ایا ازمایش های ایذ در بیمارستان های دولتی رایگان هست
من ۳ماه پیش معده درد داشتم ۲ماه کشید درست شدم
ولی الان استرس اسهال و دست پام سرد میشه میترستم
سلام پویا جان میشه باهام ارتباط داشته باشیم منم یک مشکلی دارم
آقا رضا میشه باهام در ارتباط باشیم منم مشکل دارم
سلام من فقط اسهال و استرس و سرد شدن دست و پا دارم
روپوستم قرمزمیشه حالت دایره ی مانند داره خیلی میترسم
سلام وختتون بخیرباشه من مدته سه ماه حساسیت پوستی شدید پیداکردم ازناحیه باسنمو زیرنافم اینقد خارش پیدامیکنه که دام ضعف میره رفتم پیش متخصص زنان گفت حساسیت پوستی پیداکردی منم میترسم چون بایکی تورابطه بودم چون حیون خونگی داشت
هه نترس
ایااگربافردناقل ایدژارتباط داشته باشیم وندانیم یامشکوک باشیم یااوقبول دارنشودکه مبتلابه این ویروس است واوگفته باشدازفردی دیگرگرفته ای میتوان ازراه دی ان ای خون اوناقل بودن ازخون وی رابخوداثبات کرد؟
سلام من دیروز تو ساحل میخواستم یک شیشه لیموناد رو بشکنم ولی دوتا زخم خیلی کوچیک شد دستم بعد دستمو که تو آب دریا شستم یادم اومد که فاضلاب هم میاد تو آب آیا احتمال دریافت ویروس وجود دارد؟
حتی از راه آب با این شرایط؟
سلام من الان سه ماه آلتم زخم شده چند روز خوب میشه بعدش دوباره زخم میشه این زخم علایم چی هستش
سلام وقت بخیر با رابطه دوجنسه داشتیم باید چجوری متوجه بشم که ایدز نگرفتم..میشه راهنمایی کنی
احتمال درست بودن نتیجه ازمایش انتی بادی بعد از ۴۲ روز چقدره؟من بعد ۴۲ روز ازمایش دادم و منفی شد
آمجق
کنترل شهوت جنسی بهترین روش برای مبتلا نشدن به ایدزه
80درصد جواب میده
سلام آیا امکانش هست کسی از طریق بزاق دهان و بوسیدن دچار ایدز بشود؟
اگ تو دهان خونی نشه و خراشیده نشه و بعدش مسواک نزنی فکر نکنم
سلام ایا بیماری ایدز فرد را می کشد
سلام من ۱۰روز پیش رابطه جنسی داشتم باکاندوم بود ولی الان گلودرد گرفتم به طرفم مشکوکم آیا بعد از ۱۰روز نشونه هاش معلوم میشه؟
خیر بعد ۶ ماه یک آزمایش بروید
سلام من دو روز پیش با یه خانمی با کاندوم رابطه داشتم میترسم چون کاندوم از طرف خودش بود تاریخ مصرفش گذشته باشه گلو درد دارم بعد اون روز
سلام چند روز پیش توی یک ارایشگاهی یه سوزن خیلی بزرگ از توی کشو در اورد و به جوشم زد تا از رو صورتم پاک کنه که خودم گفتم. خواستم بدونم اگه الوده باشه جای زخم جوش باقی میمونه یا مثل واس من بعد چند روز از بین میره؟خواهش میکنم کسانی که میدونن بگن.خیلی استرس دارم و ۱۵ سال بیشتر ندارم
ببینید ویروس ایدز تو بیرون از بدن نمی تونه بیش از چند ساعت زنده بمونه
سلام من چند وقت پیش رابطه داشتم به صورت مفعول ک با کاندوم بود بعد از دو ماه ازمایش دادم منفی شد الان سرما خوردم نگرانم نیازی به آزمایش مجدد هست؟
شما دوباره آزمایش دادین؟چی شد؟
سلام خسته نباشید من تاحالا هیچ رابطه ای نداشتم ولی زگیل تناسلی دارم از چه طریقی این اتفاق میتونه بیوفته
سلام استفاده از قاشقی ک دهنی بوده باعث انتقال ایدز میشود؟
چن روز پیش ی نفر با یک قاشق غذا خورد منم ۳روز بعد با همون قاشق غذا خوردم بدون اینکه بشورم
آیا انتقال ایدز ممکنه؟؟؟؟
داداش گشادی هم حدی داره دیگه
سلام من دکتر نیستم ولی جوابت رو میدونم، انتقال ایدز فقط از طریق رابطه جنسی (واژینال یا آنال) و از طریق اشباع تیز آلوده به خون، استفاده از سوزن مشترک و در دوران بارداری، زایمان یا شیر دهی به فرزند ممکنه. از طریق غذا و نیش حشرات و آب دهان و اشک و … منتقل نمیشه، مخصوصا با قاشق که اصلا.
چرا دیگه از بزاق دهان منتقل میشه
سلام خسته نباشید من یه دو روز هست که رابطه جنسی داشتم اول برام خورد بد با کاندوم رابطه داشتم ممکن موبطلا باشم
سلام من مبتلا به اچ ای وی هستم وبعداز زایمانم این بیماری رو فهمیدم الانم پسرم ۳ماهشه خیلی نگرانشم که اونم مبتلا هست یانه
سلام من دکتر نیستم اما جواب سوال شما رو بلدم، این بیماری میتونه از مادر به فرزند در دوران بارداری، زایمان یا شیر دهی منتقل بشه و احتمال انتقالش هم زیاده، ولی احتمال کمی وجود داره که منتقل نشده باشه
سلام وقت تون بخیر شما که مبتلا به اچ آی وی هستید روز ها اول چ علائم های داشتید میشه بگید
سلام زهرا خانوم من یک سوالی داشتم میخاستم باهاتون در ارتباط باشم ممنونم منم حالم بده
احتمال انتقال اچ آی وی از طریق بزاق دهان بسیار بسیار کمه. تقریبا صفر. مگر اینکه روی آلت تناسلی شما زخمی بوده باشه
هدف شناسه ارائهدهنده ملی (NPI) شناسایی منحصربهفرد ارائهدهنده مراقبتهای بهداشتی در معاملات استاندارد، مانند ادعاهای مراقبتهای بهداشتی است.
NPIها همچنین ممکن است برای شناسایی ارائهدهندگان مراقبتهای بهداشتی در نسخهها، در فایلهای داخلی برای پیوند شمارههای شناسایی اختصاصی ارائهدهنده و سایر اطلاعات، در هماهنگی مزایا بین طرحهای سلامت، در سیستمهای پرونده پزشکی بیمار، در پروندههای یکپارچگی برنامه، و به روشهای دیگر استفاده شوند. HIPAA ایجاب میکند که نهادهای تحت پوشش از NPI در تراکنشهای استاندارد استفاده کنند. اگر هر گونه تراکنش الکترونیکی را با برنامه های بهداشتی فدرال انجام دهید، یک نهاد تحت پوشش هستید.
NPI فردی شما متعلق به شماست حتی اگر کارفرمای شما برای آن درخواست ارسال کند. وقتی رویهها را تغییر میدهید یا در تنظیمات مختلف کار میکنید، NPI تغییر نمیکند. شما فقط یک NPI فردی خواهید داشت. این توسط همه طرحهای بهداشتی که نهادهای تحت پوشش هستند استفاده خواهد شد، و شمارههای ارائهدهندهای که در حال حاضر توسط Medicare، Medicaid و پرداختکنندگان خصوصی تخصیص داده شدهاند حذف میشود.
CMS یک رجیستری آنلاین NPI ایجاد کرده است که در آن یک پزشک، سایر ارائه دهندگان مراقبت های بهداشتی یا سازمان می توانند به اطلاعات NPI دسترسی داشته باشند. این بخشی از همان وب سایت طرح ملی و سیستم شمارش ارائه دهندگان (NPPES) است که ثبت NPI در آن تکمیل شده است.
فقط عناصر دادههای ارائهدهنده مراقبتهای بهداشتی که تحت قانون آزادی اطلاعات (FOIA) قابل افشا هستند منتشر میشوند.
https://resume.io/r/jQDSSr8Zg
سلام من تویی کارگاه کار می کنم یکی از کارکنان اعلایمی به ایدز دارد من تویی دبه که اون یک روز قبل آب خورده بودمن هم به از ۱۳ ساعت داخل آن دبه پلاستیک آب خوردن به نظرتون بیماری به من انتقال یافته یانه
سلام، احتمالش از صفر هم کناره گرفته باشی
ممنون میشم از ادمین اگر این تجربه من رو باز نشر کنید تا دیگران هم استفاده کنند.
سلام ، به نظرم دوستانی که این علائم رو دارن به پزشک مراجعه کنید، من خودم چند وقت این علائم رو داشتم و همش استرس و اضطراب طوری که از همون استرس علائم شدید تر شد و چون با کسی هم در میون نذاشتم همه بار این اضطراب رو دوش خودم بود و خیلی حالم بد شد. تا این که با مادرم در میون گذشتم و انگار یه بار سنگین رو گذاشتم زمین.
با مادرم به دکتر رفتیم قبلش میترسیدم تنهایی به دکتر برم و دکتر گفت هیچ مشکلی نیست و متاسفانه من عوارضی مثل سردرد و معده درد که طی این دو ماه گرفتم از استرس هنوز هست. و میگم چرا زودتر با کسی مشورت نکردم . به نظرم آدمی که مریض میشه نیاز به کمک داره و خودش به تنهایی از پس سختی هاش بر نمیاد. شما هم به نظرم اگر این علایم رو دارید از کسی حتما کمک بگیرید و خود خوری نکنید.
سلام دکتر خسته نباشد
من یک رابطه جنسی داشتم بدون کاندوم،بعداز این رابطه ۶ ماه گذشت رفتم ازمایش ایدز دادم بعد ۲ روز جواب اومد
منفی بود
خیلی استرس دارم ، بعداز این رابطه، یکی از این نشونه های که نوشته بودین رو داشتم لکه ی سیاه دهانی داشتم بعداز یک هفته ناپدید شد جوش های روی دستم، گرم شدن دستو پا
ایا لازم هست که برم دوباره ازمایش بدم
نه دیگه بعد ۶ ماه رفتی نداشتی
خیلی ممنون که جواب دادید از استرس شب ا خوابم نمیبره وه چقد پشیمونم
اگر برای آزمایش کیت الایزای چهار رو استفاده کردن جواب قابل اعتماده. احتمال خیلی زیاد منفی هستید. اما برای اطمینان سه ماه دیگه هم تست بدید
سلام من میخام اولین رابطه جنسی رو داشته باشم ممکنه بگیرم
یا اگه کارت سلامت داشته باشه چی؟
اگه ازش مطمعن نیستی که ایدز داره یانه اصلا باهاش شروع نکن چه کاریه اینجوری که قبل از هر رابطه باید بری تست بدی خب
چه ربطی به کارت سلامت داره ؟؟؟ حتما و حتما و حتما کاندوم استفاده کنید
سلام. جناب دکتر من متاسفانه روابط زیادی داشتم و از انواع روابط استفاده کردم و بااشخاص زیادی تکرار شده!
هیچ اتفاقی و علاعمی نداشتم. تا این اواخر ینی دو الی سه هفته پیش بیماری مثله انفلانزا و الرژی گرفتم.
علاعم سرفه و خارش شدید گلو و سردرد. خلت پشت حلق و مداوم.. و خارش بدن.
ب دکتر مراجعه کردم و گفت عفونت نیست و الرژی میتونه باشع.
دارو داد اما افاقه ای نداشت و این سرفه ها و درد سینه و خلط کماکان هست.
علاعمو خوندم ترس ب جونم افتاد.
البته الان سرفه هام خیلی خیلی کمتر شده اما هست هنوز.
من الان دقیقا باید چه خاکی سرم کنم!؟ کجا برم و… (گِل شده سرم ایا!؟)
آزمایش بدی بعد ۲ یا ۳ روز دوز جون چیزی باشع نشون میده؟؟
با سلام
۷ ماه پیش یه نفر با چاقو از روی لباس ( تیشرت ورزشی شوهرم پوشیده بود )روی شکم شوهرم خش باریکی انداخت که هیچ خونی نیومد اگه چاقو آلوده باشه احتمال آلوده شدن شوهرم هست ؟
سلام من پارسال یه عملی انجام دادم دوواحد خون بهم تزریق کردن تب ولرز گرفتم الان هم دهانم زخم میشه و بالاتنه ام جوش میزنم امکانش هست مبتلاشده باشم
خون هر فردی که آزمایش میده طبق دستورالعمل سازمان آزمایش هپاتیت و ایدز و سیفلیس انجام میشه ولی این آزمایشات دو ماه آخر وضعیت اهداکننده رو نشان میدن به همین دلیل احتمالش هست که شخص اهداکننده روز بعد از رفتار خطرناک اقدام به اهدای خون کند که در صورت مبتلا بودن در آزمایش مشخص نمیشه به همین دلیل با توجه به علائمی که داشتید بهتره که حتما آزمایش ایدز و هپاتیت رو انجام بدید
ایدز از طریق فرد سالم به سالم انتقال پیدا میکنه؟
خیر
وقتی هر دو سالمن چجوری منتقل شه
اره خودتون تولیدش میکنید
حتما . مگه که هرکی بلدباشه راحت درستش کنه و با هرکی داش خاست تقسیمش کنه ؟! بی سوالیه ؟
سلام من یه رابط جنسی داشتم اما اون خانوم مواد مخدر نعبود ولی شوهر اون مواد مخدر عمل داشته
سلام من داخل باشگاه رفتم دستشویی سر شلنگ به مقعد برخورد کرد احتمال اینکه ایدز گرفته باشم هست؟
خیر